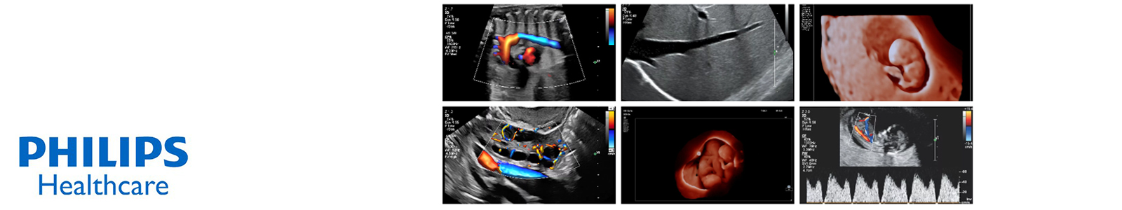
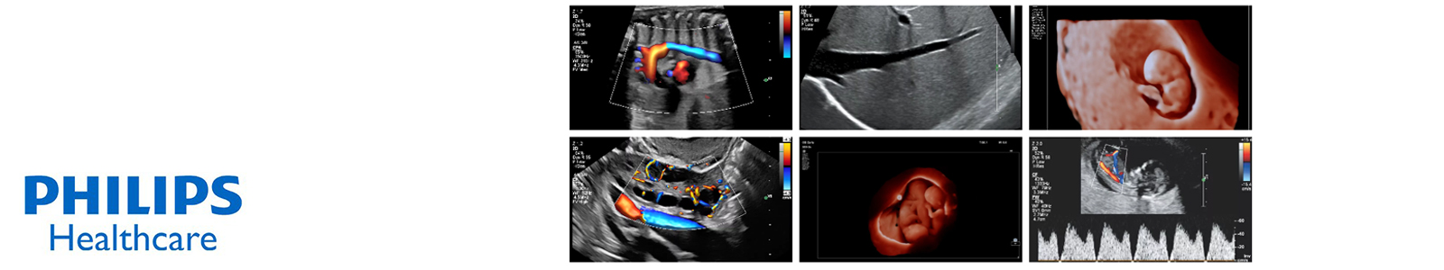
Goed nieuws! De eerste Philips Affiniti goedgekeurd voor prenatale screening.
De Philips Affiniti 70G in combinatie met de C10-3v en V9-2 probes is goedgekeurd voor gebruik in de prenatale screening.
Het wordt geadviseerd om XRES niet hoger dan stand 1 te gebruiken. De XRES processing kan de contrastwaarneembaarheid op de beelden verbeteren door toepassing van speckle reductie, ruis reductie en andere filter technieken (zoals edge enhancement). XRES beïnvloedt ook de helderheid van structuren rondom weefselovergangen (lokaal) wanneer deze in meer geavanceerde settingen gebruikt wordt. In deze geavanceerde settingen neemt de detail waarneembaarheid af en kan vervorming optreden, met name in gebieden met een lage signaalsterkte.
Voor uitgebreide informatie over het krachtige Philips Affiniti 70 echografiesysteem verwijzen wij u graag naar onze informatiepagina.

